Aplican una técnica de estimulación fisiológica a un centenar de pacientes con fallo cardiaco
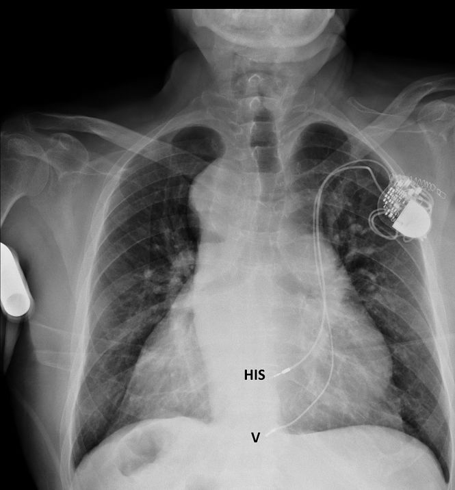
Esta técnica conocida como la estimulación hisiana ha emergido en los últimos años y se caracteriza por usar las vías eléctricas presentes en el corazón
El Hospital Universitario Virgen de las Nieves de Granada ha realizado cerca de cien intervenciones para implantar un dispositivo con estimulación fisiológica que activa los ventrículos del corazón por su vía natural y de esta forma mantienen la fuerza de contracción del mismo y previenen el desarrollo de insuficiencia cardiaca.
Esta técnica conocida como la estimulación hisiana ha emergido en los últimos años y se caracteriza por usar las vías eléctricas presentes en el corazón que permiten una contracción del corazón natural y similar a la de cualquier persona sana.
Se trata de un procedimiento complejo indicado para pacientes con enfermedades cardiacas severas, que portan prótesis tricúspides o bien padecen cardiopatías congénitas, según ha informado la Junta.
El hospital granadino es referente en Andalucía oriental por lo que la Unidad de Arritmias ha organizado la primera reunión nacional que acoge a cardiólogos especialistas en arritmias para formarse y aprender esta técnica.
Cuando el sistema eléctrico del corazón falla causa una bajada excesiva de las pulsaciones porque late excesivamente lento, se produce entonces una bradicardia que en ocasiones causa síntomas que pueden ser graves y molestos tales como pérdida de conciencia, cansancio, falta de aire, dolor en el pecho e insuficiencia cardiaca.
El tratamiento habitual para esta bradicardia es la implantación de un marcapasos para llevar electricidad al corazón y poder estimularlo a una frecuencia cardiaca adecuada con lo que inmediatamente se resuelve el problema y las molestias que esta produce.
Sin embargo, en los meses y años siguientes el problema de los marcapasos convencionales es que la activación eléctrica de los ventrículos la hace de una forma anómala, distinta a la fisiológica, puesto que el cable del marcapasos se posiciona en el sitio donde llega más fácilmente que es el llamado ápex del ventrículo derecho.
Esto genera una anomalía eléctrica que en algunas personas lleva a un trastorno mecánico, disminuyendo la fuerza muscular del corazón, que acaba produciendo un problema grave como es la insuficiencia cardiaca.
Medio centenar de alumnos de la provincia participan en un certamen que une literatura, música e ilustración con motivo del 150 aniversario del compositor
El ciclo formativo del Centro de Formación Escénica de Andalucía ofrece conciertos gratuitos hasta el 5 de mayo con propuestas que van del jazz flamenco a la música brasileña










