Capital
El metro prestará cinco días de servicio ininterrumpido por el Corpus
Esta ampliación del horario de metro se hace para responder a la gran demanda prevista y después del éxito del año pasado
La Escuela Andaluza de Salud Pública se suma al reto 'Dona sangre' con una colecta en sus instalaciones
El objetivo es "contribuir a incrementar las reservas de sangre disponibles en los hospitales
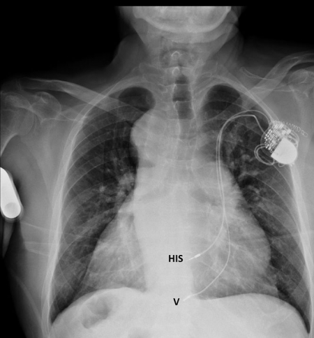
Aplican una técnica de estimulación fisiológica a un centenar de pacientes con fallo cardiaco
Esta técnica conocida como la estimulación hisiana ha emergido en los últimos años y se caracteriza por usar las vías eléctricas presentes en el corazón
La fachada de Condes de Gabia ilustra un sello y una tarjeta postal de Correos
Con motivo de la exposición filatélica “Exfilándalus 2019”, que se celebra en la sede de Cultura hasta el próximo domingo
El Instituto Andaluz de la Mujer formará parte del Grupo de Trabajo para el estudio de la calidad del sistema educactivo en Andalucía para aportar una perspectiva de educación en igualdad
La directora del IAM, Mercedes Sánchez Vico, ha participado en la Comisión Permanente del Consejo Escolar de Andalucía celebrada en Granada
Capital















