Universidad
La UGR participa en 'Territorio Gravedad', una serie documental que recorre el cosmos
Esta serie tendrá 11 episodios de 60 minutos y su estreno está previsto para noviembre de 2021
Diseñan nanocápsulas de aceite de oliva inteligentes eficaces frente a células madre cancerígenas
La investigación ha demostrado por primera vez la utilidad de este tipo de nanopartículas de aceite de oliva cargadas de fármacos para diagnosticar y tratar el cáncer de páncreas tanto in vitro como in vivo
La UGR vuelve a liderar por cuarto año consecutivo la investigación en el área de Matemáticas
La investigación en Matemáticas a nivel nacional y autonómico sigue liderada por la UGR, teniendo en cuenta los resultados alcanzados en los rankings de Shanghai y Stanford
Científicos encuentran una nueva variable imprescindible para predecir el flujo del agua en el suelo
Su trabajo permite simular el movimiento del agua en el suelo y el crecimiento de la vegetación con mayor precisión que hasta ahora
Juana Rivas podría entrar en prisión esta semana sin que se haya resuelto su recurso, según su defensa
El plazo de 15 días dado por el juez para la notificación del auto e ingreso en prisión de Juana Rivas termina el próximo sábado 12 de junio y el recurso que han presentado no paraliza los plazos
El impacto del polen se mantiene estable en la atmósfera de Granada
Pese a los elevados niveles de olivo y gramínea, la polinización se muestra estabilizada sin que se registren días de especial riesgo de alergia
Hace 1,4 millones de años Orce se convirtió en una zona de atracción para la elaboración de herramientas de piedra en Europa
Unas lluvias torrenciales acontecidas en Barranco León provocaron una acumulación de materias primas que los primeros homininos aprovecharon como una oportunidad
La UGR reunirá a 70 investigadoras de universidades españolas para divulgar sus casos de éxito
Organizado por el proyecto “Son Pioneras, el workshop ‘Mujeres Investigadoras Innovan’ dará a conocer 70 casos de éxitos de pioneras de universidades españolas
Enfermeras analizan los efectos adversos que provoca pronar a los pacientes con COVID-19 sometidos a ventilación mecánica
Investigadores de la UGR analizan la prevalencia de aparición de efectos adversos derivados de la posición prona durante la primera ola de la pandemia, entre los meses de marzo y mayo de 2020
Investigadores identifican el origen de las primeras estructuras formadas en galaxias como la Vía Láctea
Un equipo científico internacional liderado por el Centro de Astrobiología (CAB, CSIC-INTA) y en el que participa la Universidad de Granada (UGR) ha estudiado las propiedades de las estrellas y su distribución espacial en una extensa muestra de galaxias
La UGR acoge el foro internacional Ecosystems 2030
Este evento de referencia global analizará la revolución tecnológica que se avecina
Científicos de la UGR trabajan en un sistema de implantes bucales revolucionario para combatir la pérdida de hueso maxilar
Desarrollan membranas sintéticas capaces de regenerar los huesos maxilares con la mayor calidad y funcionalidad
Las últimas lluvias ralentizan el impacto del polen de olivo y gramínea
Pese al alivio ocasionado por las precipitaciones y la humedad de los últimos días, la tendencia continúa al alza
El investigador de la UGR Carlos Peris se clasifica para la final del concurso de monólogos científicos FameLab
Trabaja en el campo de la nanotecnología aplicada a la lucha contra el cáncer, y con él son ya siete los investigadores de la UGR que han llegado a la final de Famelab desde que en 2013 se puso en marcha el concurso en España
La Consejería de Salud reconoce el esfuerzo de la UGR para combatir el tabaquismo
Coincidiendo con el Día Mundial Sin Tabaco 2021
La Universidad de Granada dedica una sala del Palacio de La Madraza a Mariana de Pineda
La sala ha sido inaugurada con un acto en memoria de la heroína granadina al que ha asistido Pilar Aranda, rectora de la UGR, y la escritora Antonina Rodrigo
La UGR sigue liderando el sistema andaluz y español de universidades según el prestigioso Ranking de Shanghai
La edición 2021 del Ranking de Shanghai por especialidades sitúa a la UGR entre las 500 mejores del mundo en 33 de las 54 disciplinas científicas analizadas, y consolida su liderazgo científico en Andalucía
El Centro de Colecciones Zoológicas de la UGR supera los 100.000 insectos catalogados
Esta instalación situada en la Facultad de Ciencias alberga más de 3.000 especies distintas
El Centro de Colecciones Zoológicas de la UGR supera los 100.000 insectos catalogados
Esta instalación situada en la Facultad de Ciencias alberga más de 3.000 especies distintas
La Universidad de Granada apuesta por una vida libre de humo
Pedro J. Romero Palacios, profesor titular del Departamento de Medicina, analiza los efectos nocivos del tabaco, su prevalencia y la importancia de la comunicación y formación en la lucha contra la adicción al tabaco y otros productos asociados
El impacto polínico del olivo alcanza nivel extremo
La gramínea también continúa en tendencia ascendente
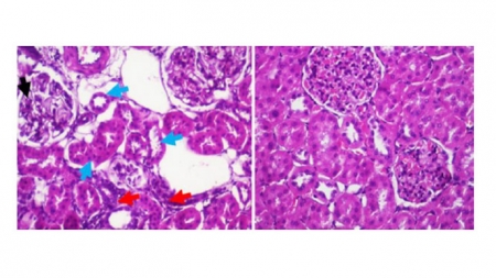
Demuestran que la melatonina protege del daño renal provocado por la obesidad con diabetes
Un estudio internacional liderado por la UGR muestra la eficacia de este tratamiento a la hora de ralentizar, retrasar y/o prevenir la progresión de la enfermedad en el riñón hacia la insuficiencia renal en modelos animales de diabesidad
Implementan tecnologías de impresión 3D para el desarrollo de modelos anatómicos con fines docentes
Un nuevo proyecto de innovación docente busca dar un salto cualitativo en la formación en Anatomía Humana con herramientas personalizadas para cada alumno
La Universidad de Granada enseña a sus estudiantes a cocinar de manera saludable
El estudiantado ha realizado sesiones prácticas de cocina en las que han elaborado diversos platos apoyados en conceptos de dieta mediterránea y sostenibilidad alimentaria
Universidad





























